ให้ รากฟันเทียม ช่วยคุณ!


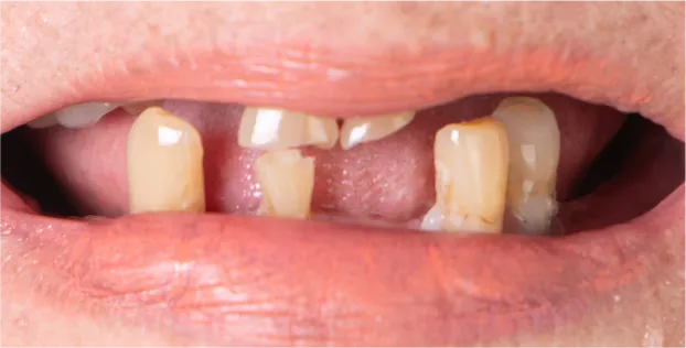
หากบูรณะไม่ได้ รากฟันเทียม
ช่วยทดแทนฟันอย่างแข็งแรง

รากฟันเทียมดูเป็นธรรมชาติ
ใช้งานได้ไม่ต่างจากฟันจริง

รากฟันเทียมฝังแน่น
แข็งแรง ใช้ได้นานหลายสิบปี

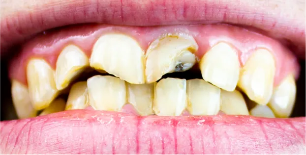
การสูญเสียฟันจากอุบัติเหตุ
อาจส่งผลต่อการเคี้ยวและรอยยิ้ม


วางแผนได้อย่างแม่นยำ เจ็บน้อยกว่า ฟื้นตัวไวกว่า และลดอาการแทรกซ้อน

ใช้แบรนด์มาตรฐานโลก Osstem, Neodent และ Straumann มั่นใจได้ทั้งคุณภาพ ความปลอดภัย และอายุการใช้งานยาวนาน

ดูแลโดยหมอเฉพาะด้านรากฟันเทียม มั่นใจในผลลัพธ์ และการติดตามผล
ทพญ.สุชนิกา ชินะชัชวารัตน์

โดยทีมทันตแพทย์ประจำคลินิก


ราคารวมครอบฟันเซรามิก
และ Surgical guide




ตลอดอายุ
การใช้งาน

นานสูงสุด