รากฟันเทียม (Dental Implants)
การทดแทนฟันแท้ที่ดีที่สุด คืนรอยยิ้มและความมั่นใจอย่างถาวร
การสูญเสียฟันแท้ไปไม่ว่าจะจากอุบัติเหตุ, ฟันผุรุนแรง, หรือโรคเหงือก ไม่เพียงแต่จะส่งผลกระทบต่อความสวยงามของรอยยิ้มเท่านั้น แต่ยังลดทอนประสิทธิภาพในการบดเคี้ยวอาหาร, ส่งผลต่อการพูด, และอาจทำให้ความมั่นใจในตัวเองลดลงได้อีกด้วย ในปัจจุบัน “รากฟันเทียม” ถือเป็นนวัตกรรมทางทันตกรรมที่ได้รับการยอมรับว่าเป็นการทดแทนฟันธรรมชาติที่สูญเสียไปได้ดีที่สุดและใกล้เคียงฟันจริงมากที่สุด
รากฟันเทียมคือการสร้างฟันซี่ใหม่ขึ้นมาทดแทนทั้งส่วนของรากและตัวฟัน ทำให้ได้ฟันที่มีความแข็งแรง, สวยงาม, และใช้งานได้ไม่ต่างจากฟันธรรมชาติ เป็นการลงทุนเพื่อคุณภาพชีวิตที่ดีและรอยยิ้มที่ยั่งยืนของคุณ
รากฟันเทียมคืออะไร
และดีกว่าฟันปลอมแบบอื่นอย่างไร?
รากฟันเทียมประกอบด้วย 3 ส่วนหลักที่ทำงานร่วมกันเพื่อเลียนแบบโครงสร้างของฟันธรรมชาติ:
ตัวรากเทียม (The Implant): ทำจากวัสดุไทเทเนียมซึ่งเข้ากันได้ดีกับร่างกาย มีลักษณะคล้ายสกรูเล็กๆ ที่จะถูกฝังลงไปในกระดูกขากรรไกรเพื่อทำหน้าที่แทนรากฟันจริง
แกนรองรับครอบฟัน (The Abutment): เป็นส่วนที่ใช้เชื่อมต่อระหว่างตัวรากเทียมและครอบฟัน
ครอบฟัน (The Crown): คือส่วนของตัวฟันที่อยู่เหนือเหงือก ทำจากเซรามิกคุณภาพสูง มีสีสันและรูปร่างเหมือนฟันธรรมชาติ ใช้ในการบดเคี้ยวและสร้างรอยยิ้มที่สวยงาม
เมื่อเทียบกับการทดแทนฟันด้วยวิธีอื่น รากฟันเทียมมีข้อดีที่โดดเด่นกว่าอย่างชัดเจน:
ไม่ต้องกรอฟันข้างเคียง: ต่างจากการทำสะพานฟันที่ต้องกรอเนื้อฟันดีๆ ของฟันซี่ข้างเคียงออกไปเพื่อใช้เป็นหลักยึด การทำรากฟันเทียมจะทดแทนเฉพาะซี่ที่หายไปโดยไม่ยุ่งเกี่ยวกับฟันซี่อื่น
ความแข็งแรงและประสิทธิภาพในการบดเคี้ยว: รากฟันเทียมยึดติดแน่นกับกระดูกขากรรไกร ทำให้มีความมั่นคงสูง สามารถรับแรงบดเคี้ยวได้เต็มที่ไม่ต่างจากฟันธรรมชาติ ต่างจากฟันปลอมถอดได้ที่อาจขยับหรือไม่แน่นพอ
ป้องกันการละลายตัวของกระดูกขากรรไกร: นี่คือข้อดีที่สำคัญที่สุด เมื่อเราสูญเสียฟันไป กระดูกขากรรไกรบริเวณนั้นจะไม่มีรากฟันคอยกระตุ้น ทำให้กระดูกค่อยๆ ละลายตัวไป ซึ่งส่งผลให้ใบหน้าดูแก่กว่าวัย แต่รากฟันเทียมจะทำหน้าที่เหมือนรากฟันจริงในการกระตุ้นและรักษาสภาพของกระดูกไว้
ขั้นตอนการทำรากฟันเทียมด้วยเทคโนโลยีขั้นสูง

ที่ Tooth Mood Dental Clinic เราให้ความสำคัญกับความแม่นยำและความปลอดภัยในทุกขั้นตอน
1. การปรึกษาและวางแผนด้วยเทคโนโลยีขั้นสูง: ขั้นตอนนี้คือหัวใจของความสำเร็จ ทันตแพทย์จะทำการตรวจอย่างละเอียดและวางแผนการรักษาด้วยเทคโนโลยีสามมิติ เราใช้เครื่อง Acteon X-MIND® trium True Low Dose ซึ่งเป็น CT Scan ที่ให้ภาพคมชัดสูงแต่ใช้ปริมาณรังสีต่ำ ทำให้สามารถเห็นตำแหน่งของเส้นประสาท, โพรงไซนัส, และประเมินคุณภาพกระดูกได้อย่างแม่นยำ เพื่อวางแผนการฝังรากเทียมได้อย่างสมบูรณ์แบบ
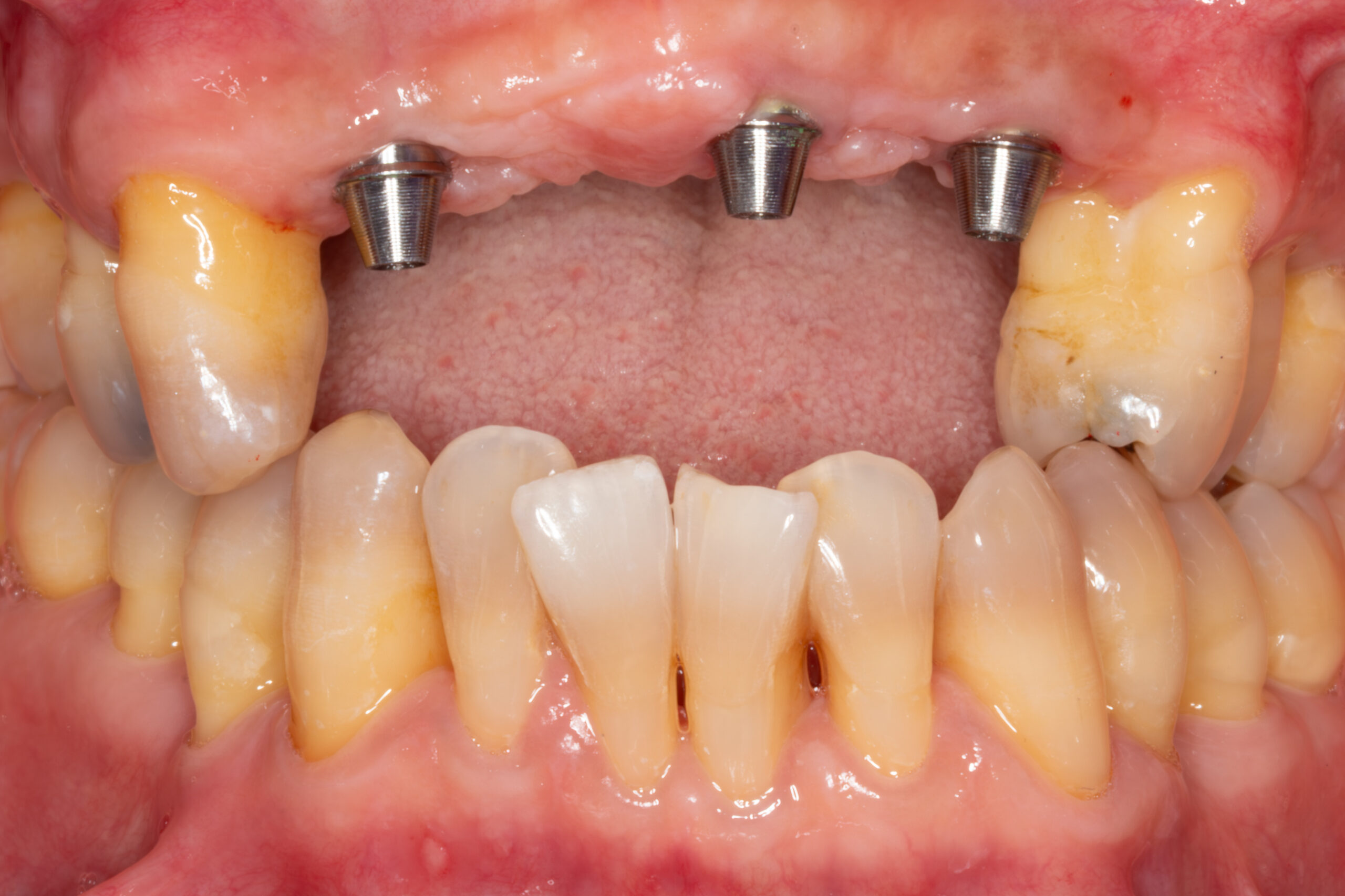
2. การผ่าตัดฝังรากฟันเทียม: เป็นการผ่าตัดเล็กที่ทำภายใต้การฉีดยาชาเฉพาะที่ การผ่าตัดมีความแม่นยำและนุ่มนวลสูงสุดด้วยเครื่อง NSK Surgic Pro AP2 ซึ่งเป็นมอเตอร์สำหรับการศัลยกรรมในช่องปากโดยเฉพาะ ช่วยลดการกระทบกระเทือนต่อเนื้อเยื่อข้างเคียงและส่งเสริมการหายของแผล
3. ระยะพักฟื้นและกระดูกยึดติด: หลังการฝังรากเทียม จะต้องมีระยะเวลาพักฟื้นประมาณ 2-6 เดือน เพื่อให้กระดูกขากรรไกรเจริญเติบโตและยึดติดกับผิวของรากเทียมไทเทเนียมอย่างสมบูรณ์ (Osseointegration)
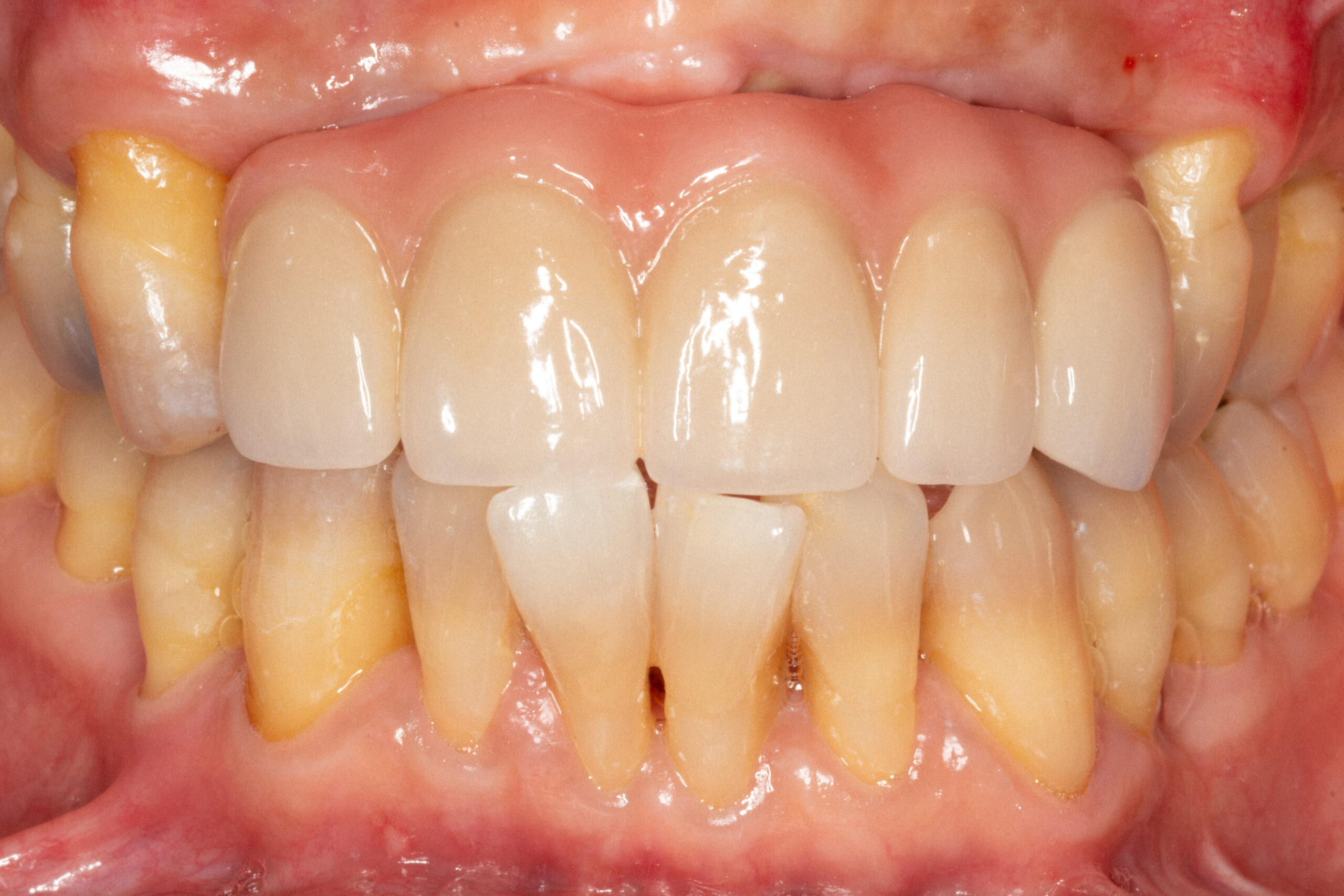
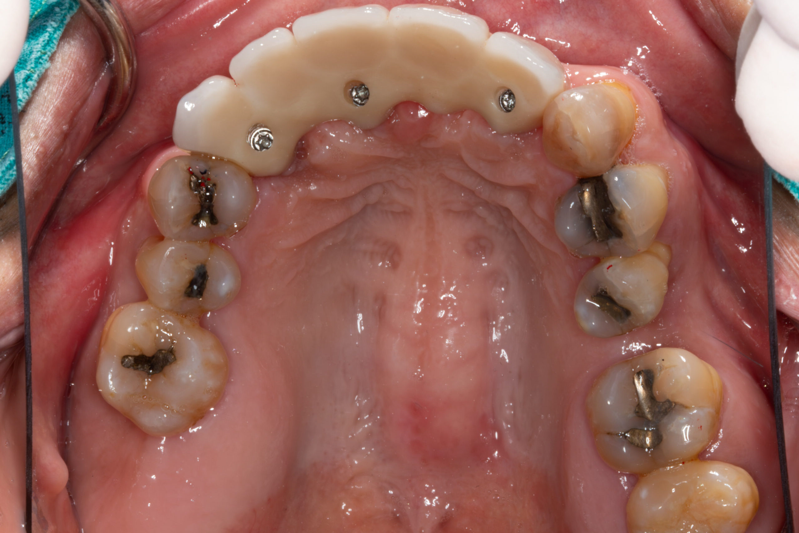
4. การใส่ครอบฟัน: เมื่อรากเทียมยึดติดกับกระดูกอย่างสมบูรณ์แล้ว ทันตแพทย์จะทำการพิมพ์ปากและสร้างครอบฟันที่สวยงามพอดีกับช่องปากของคุณ เพื่อยึดติดกับรากเทียมเป็นขั้นตอนสุดท้าย

ระบบรากฟันเทียมคุณภาพสูง ที่เราเลือกใช้
ที่ Tooth Mood Dental Clinic เราเลือกใช้เฉพาะระบบรากฟันเทียมคุณภาพสูงที่ได้รับการยอมรับในระดับสากล เพื่อให้คนไข้มั่นใจได้ในผลการรักษาที่ดีที่สุด
Straumann Implants (สวิตเซอร์แลนด์): เป็นระบบรากฟันเทียมระดับพรีเมียมที่เป็นผู้นำของโลก มีงานวิจัยรองรับยาวนาน มีนวัตกรรมพื้นผิวรากเทียมที่ช่วยให้กระดูกยึดติดได้เร็วและแข็งแรง และมีอัตราความสำเร็จสูงที่สุด อีกทั้งยังเป็นแบรนด์ที่มีการใช้งานอย่างยาวนานในประเทศไทย ทำให้มั่นใจได้ในเรื่องการหาอะไหล่เพื่อการบำรุงรักษาในอนาคต
Osstem Implants (เกาหลีใต้): เป็นระบบรากฟันเทียมคุณภาพสูงที่ได้รับความนิยมอย่างแพร่หลายทั่วโลก มีความน่าเชื่อถือและให้ผลการรักษาที่ดีเยี่ยมในราคาที่เข้าถึงง่าย เช่นเดียวกับ Straumann, Osstem ก็เป็นระบบรากฟันเทียมที่มีตัวแทนจำหน่ายที่มั่นคงและมีการใช้งานอย่างแพร่หลายในประเทศไทย ทำให้มีประวัติการสำรองอะไหล่ที่ดี
การเลือกใช้ระบบรากฟันเทียมที่มีประวัติยาวนานและมีตัวแทนที่น่าเชื่อถือในประเทศเป็นสิ่งสำคัญอย่างยิ่ง เพราะการทำรากฟันเทียมคือการรักษาในระยะยาว การบริการหลังการขาย, การรับประกัน และความพร้อมของชิ้นส่วนอะไหล่ในอีก 10-20 ปีข้างหน้า คือสิ่งที่ Tooth Mood Dental Clinic คำนึงถึงเพื่อประโยชน์สูงสุดของคนไข้ของเรา
Straumann Implants
Osstem Implants
ทีม ทันตแพทย์เฉพาะทาง ครบทุกสาขา
ความสำเร็จของการทำรากฟันเทียมต้องอาศัยการทำงานร่วมกันของทีมทันตแพทย์ในหลายสาขา เพื่อให้ได้ผลลัพธ์ที่ดีที่สุดทั้งในด้านการใช้งานและความสวยงาม
ทันตแพทย์ด้านศัลยกรรมช่องปาก (Oral Surgeon) : ขั้นตอนการผ่าตัดฝังรากฟันเทียมซึ่งต้องการความแม่นยำและความปลอดภัยสูงสุด จะดูแลโดยทีมทันตแพทย์ผู้มีประสบการณ์ด้านศัลยกรรม นำโดย ทพญ. สุธิดา วานิชชานนท์ และ ทพญ. จิดานันท์ สุนทรรังสรร
ทันตแพทย์โรคปริทันต์ (Periodontist): ในกรณีที่คนไข้มีปัญหาโรคเหงือกหรือปริมาณกระดูกไม่เพียงพอ การเตรียมสภาพเหงือกและกระดูกให้พร้อมก่อนการฝังรากฟันเทียมเป็นขั้นตอนที่สำคัญอย่างยิ่ง ซึ่งจะดูแลโดยทันตแพทย์เฉพาะทางโรคปริทันต์ นำโดย ทพญ. ธนัชพร ลยางกูร เพื่อสร้างฐานที่แข็งแรงสำหรับรากฟันเทียมและดูแลสุขภาพเหงือกรอบรากฟันเทียมในระยะยาว
- ทันตแพทย์ด้านทันตกรรมประดิษฐ์ (Prosthodontist) : ส่วนการบูรณะฟันขั้นสุดท้ายด้วยครอบฟันที่สวยงามและใช้งานได้ดี จะอยู่ในความดูแลของทีมทันตแพทย์ผู้มุ่งเน้นงานด้านทันตกรรมประดิษฐ์ (ฟันปลอม) ซึ่ง ทพญ. สุชนิกา ชินะชัชวารัตน์ และ ทพ. อลงกรณ์ นิรัติศัยสกุล เป็นผู้มีประสบการณ์สูงและมีความชำนาญในการออกแบบรอยยิ้มให้สวยงามเป็นธรรมชาติ
สำหรับคนไข้ในย่าน บางนา, บางนา-ตราด, อุดมสุข, ศรีนครินทร์ ที่ Tooth Mood Dental Clinic เรามีทีมทันตแพทย์พร้อมดูแลและประสานงานการรักษาให้คุณแบบครบวงจรในที่เดียว
การทำรากฟันเทียมคือการลงทุนที่คุ้มค่าเพื่อคืนรอยยิ้มที่มั่นคงและคุณภาพชีวิตที่ดีให้กับคุณ หากคุณกำลังมองหาทางออกสำหรับการทดแทนฟันที่สูญเสียไป นัดหมายเข้ามาปรึกษาทีมทันตแพทย์ของเราที่ Tooth Mood Dental Clinic ได้แล้ววันนี้
ทันตแพทย์ด้านศัลยกรรมช่องปาก (Oral Surgeon)
ทันตแพทย์ด้านทันตกรรมประดิษฐ์ (Prosthodontist)
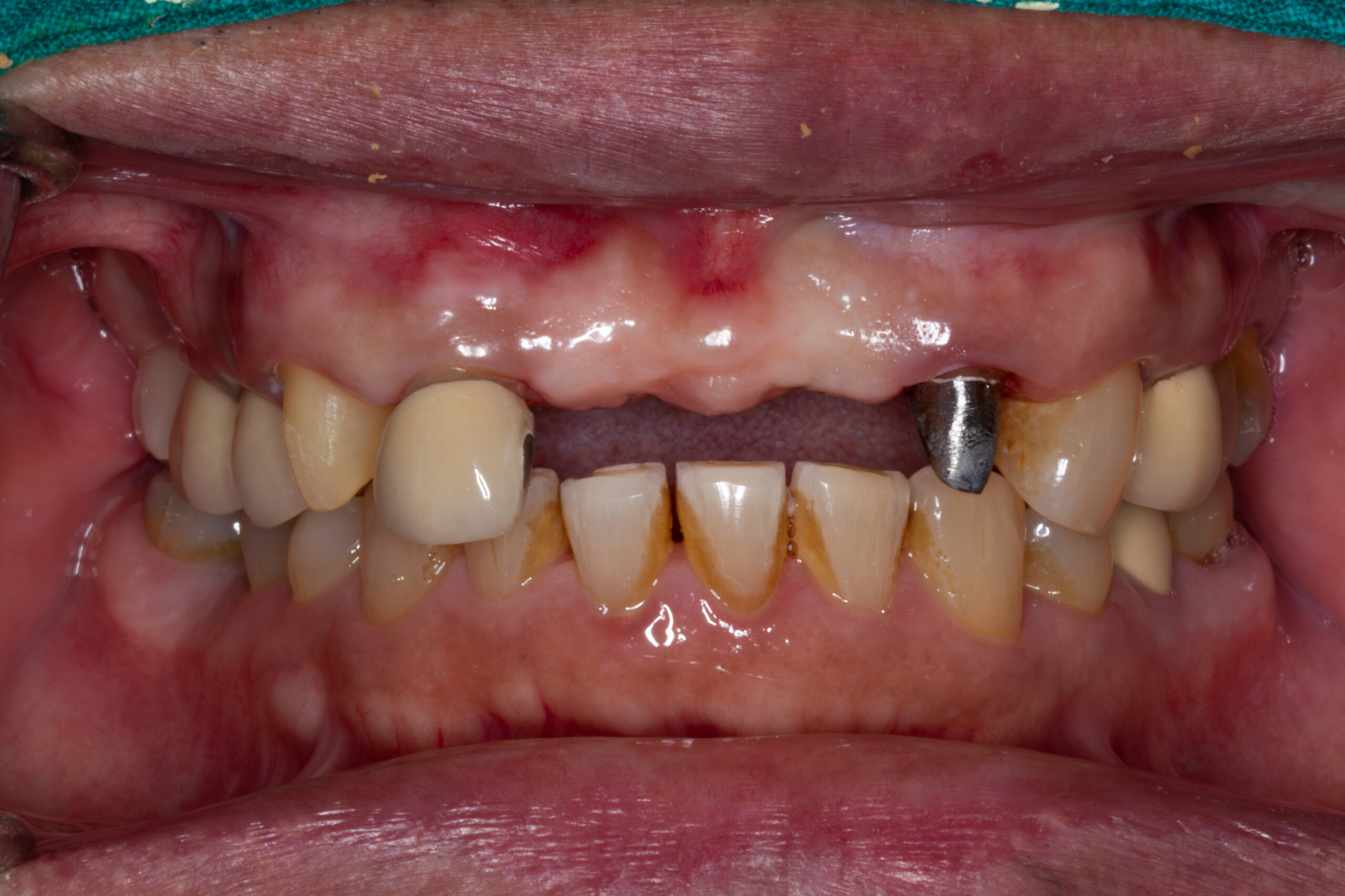
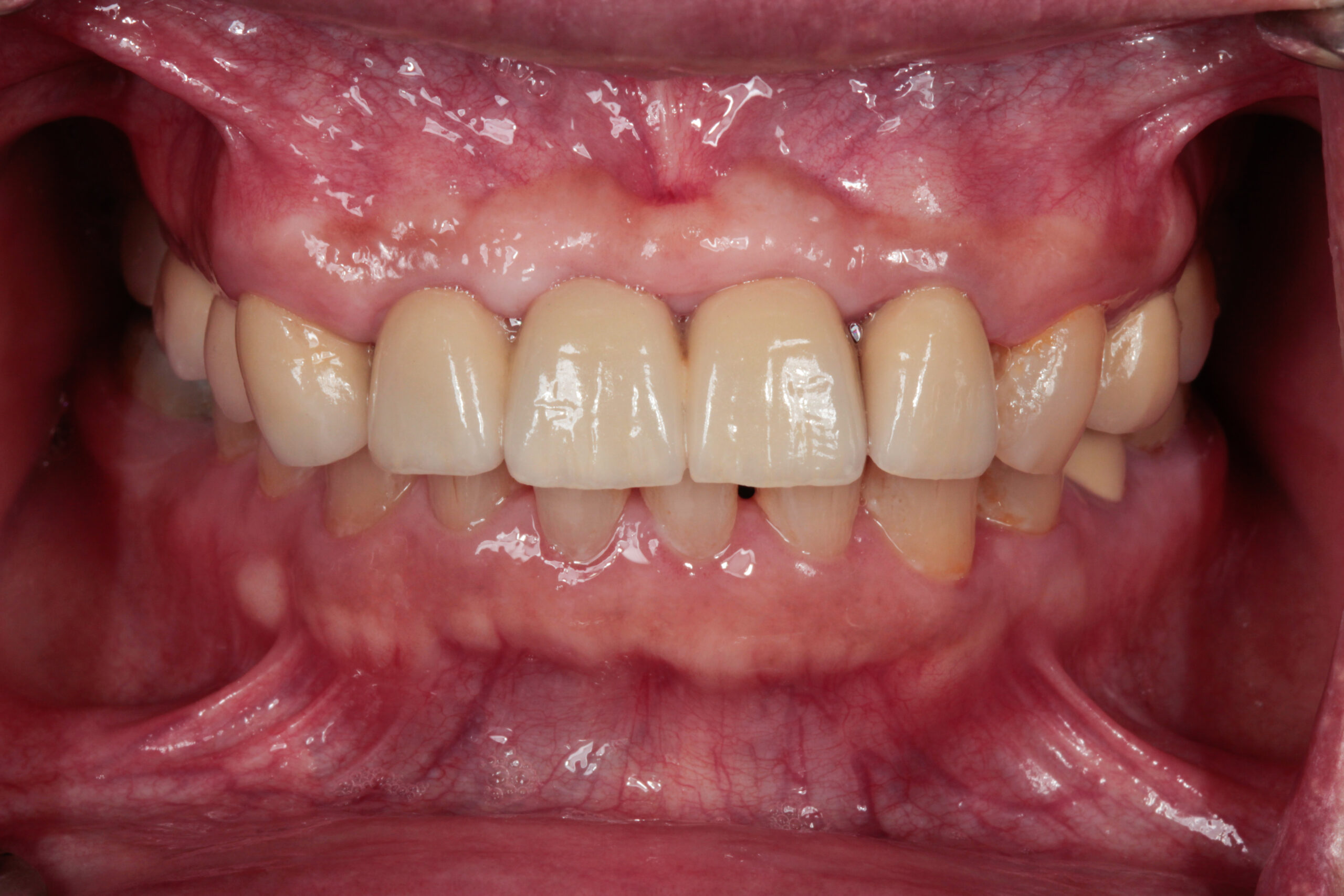
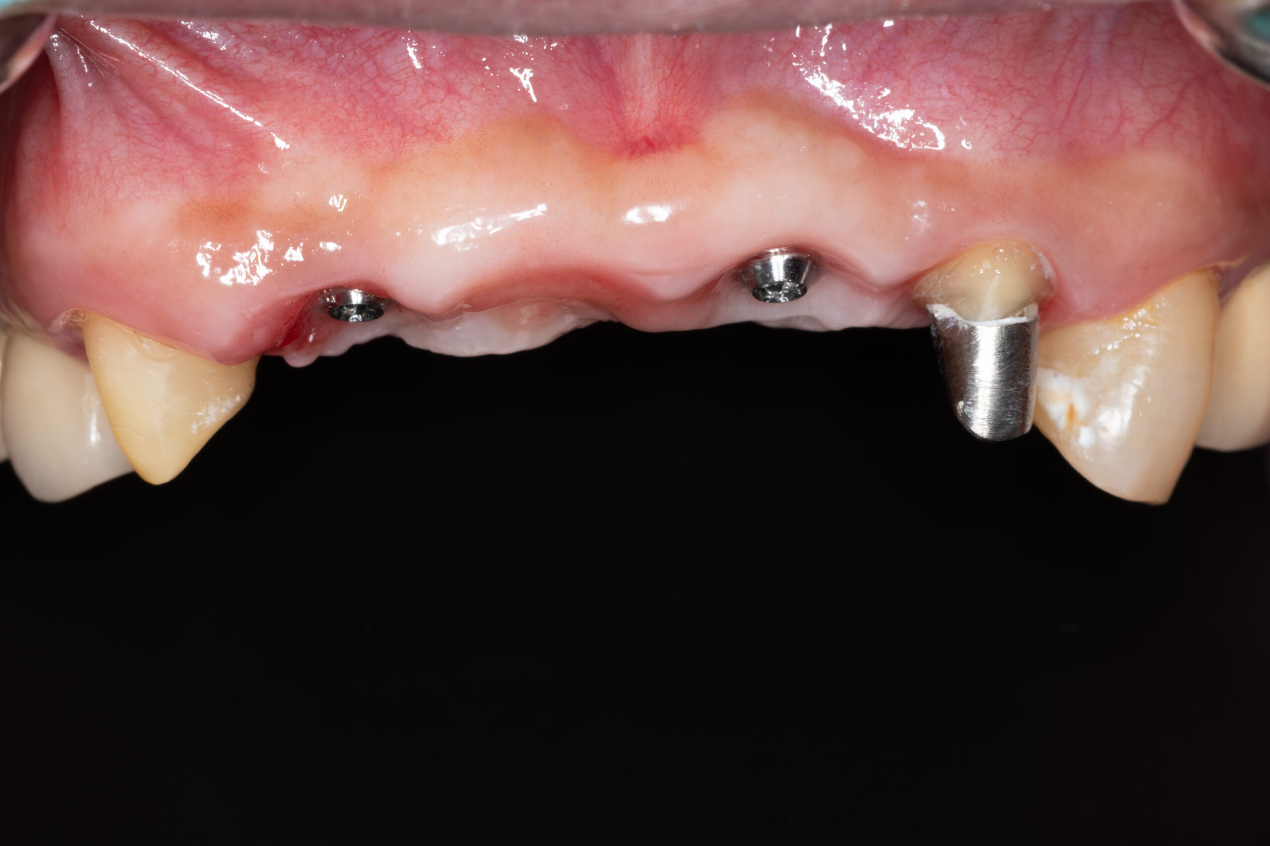
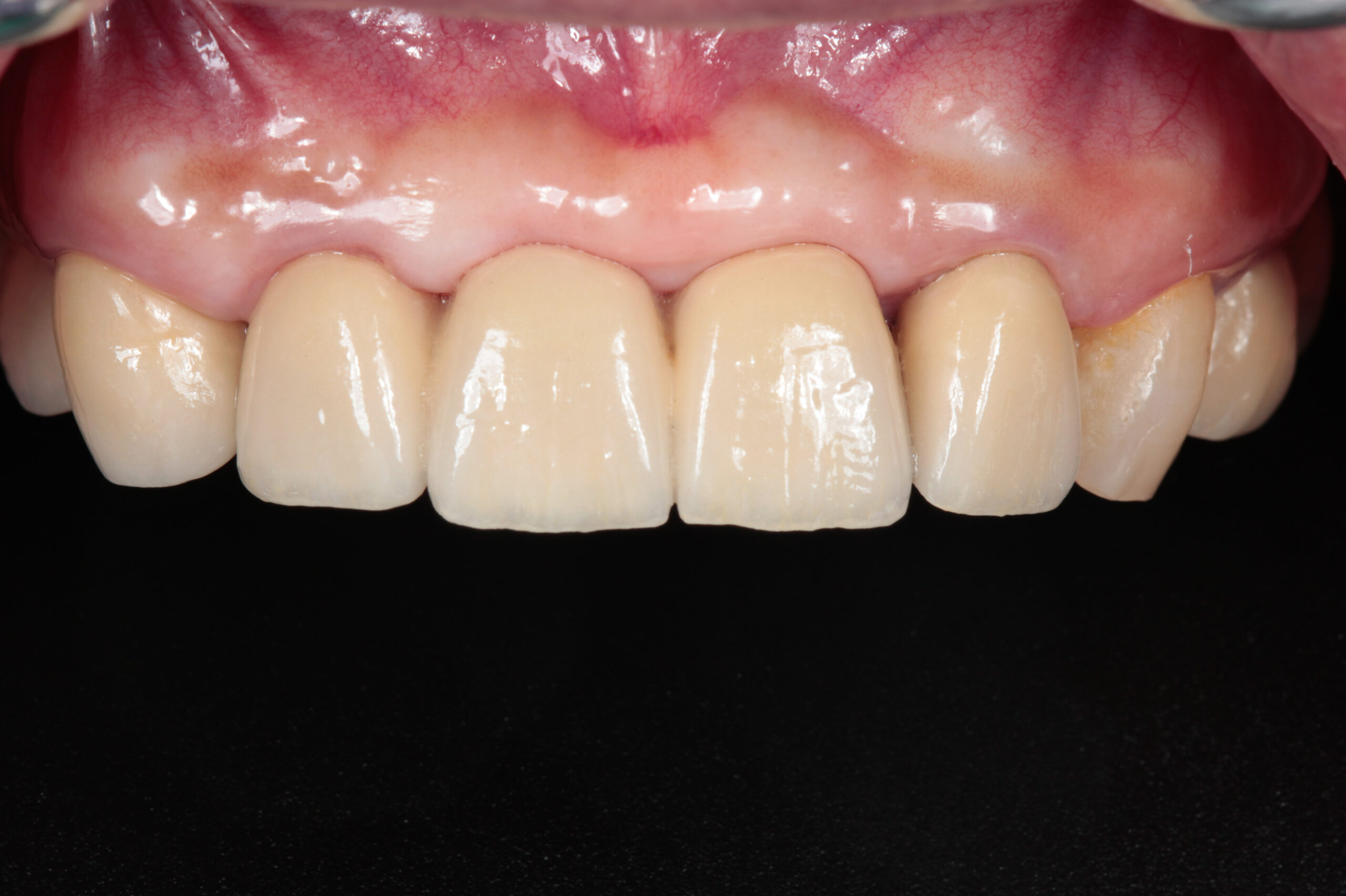
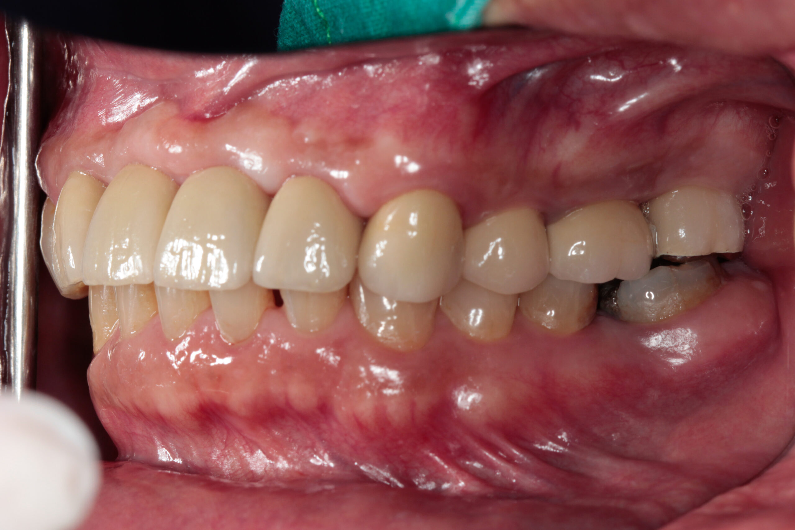
CASE REVIEW
CASE #1






CASE #2





